top of page

Macular Degeneration&
Retinal Disease
황반&망막질환
Macular Degeneration
황반변성


황반변성
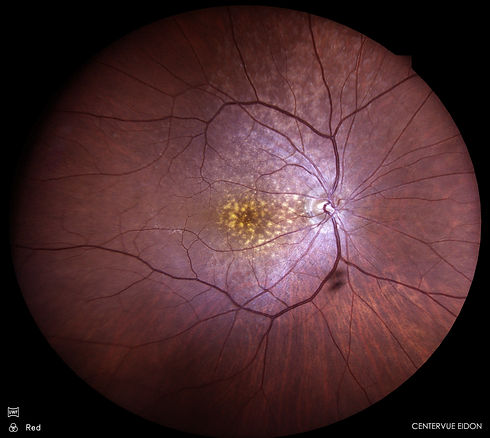
우리 눈에서 시세포가 가장 많이 모여있는 곳으로 시력에서 가장 중요한 부분인 황반에 문제가 생기는 것을 황반변성이라고 합니다.
3대 실명 원인으로서 주기적인 검진으로 치료와 관찰이 필요한 질환입니다.



정상시야
황반변성시야
황반변성의 종류
황변성에는 크게 습식성(삼출성) 황반변성과 건성(비삼출성) 환방변성 2가지가 있습니다.





습식 황반변성
건식 황반변성
황반변성의 증상

-
시력이 떨어진다.
-
욕실의 타일이나 중앙선 등 선이 굽어보인다.
-
책이나 글을 읽을 때 글자에 공백이 생긴다.
-
시야의 중심에 검은 점이 생긴다.
-
물체가 찌그러져 보인다.
-
대비감(색 및 명암을 구별하는 능력)이 떨어진다.
암슬러 격자를 이용한
황반변성 자가진단

암슬러 격자 테스트
-밝은 곳에서 안경,렌즈를 착용하고 검사합니다.
-30cm 떨어진 곳에서 한 쪽 눈을 가리고 가운데 검은 점을 바라봅니다.
-시선은 둥근 점을 주시한 채로 주변을 확인합니다.
-반대쪽 눈도 동일하게 진행합니다.
bottom of page
_edited.jpg)
_edited.jpg)
_edited.jpg)
_edited.jpg)
_edited.jpg)
_edited.jpg)
_edited.jpg)
_edited.jpg)

_edited.jpg)
_edited.jpg)
_edited.jpg)



